Начался сезон травм: несовершеннолетние всё чаще становятся участниками ДТП, сообщили в детской республиканской клинической больнице (ДРКБ).
За последние несколько дней в больницу госпитализированы четверо подростков с травмами различной степени тяжести, полученных в результате ДТП при управлении мотоциклом.
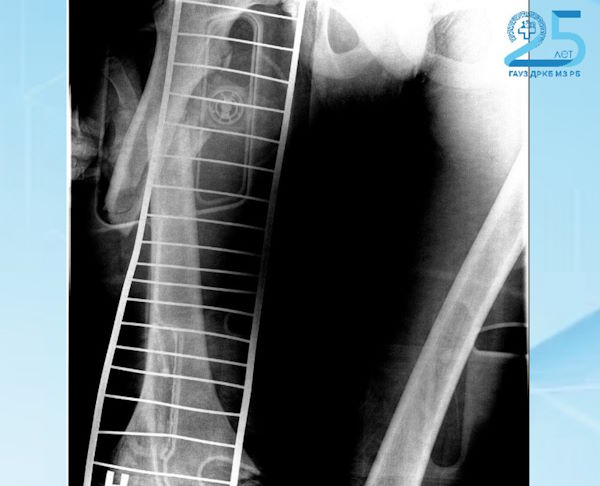
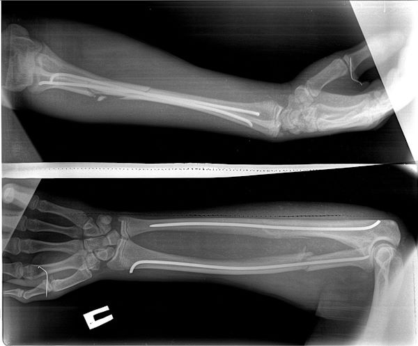
- Сегодня, 19 апреля, в отделение травматологии и ортопедии ДРКБ -доставлен 17-летний подросток. Не справился с управлением и упал с мотоцикла. Диагностирован перелом костей стопы со смещением, рвано-ушибленные раны, ушибы мягких тканей и т.д., - сообщили в ДРКБ.
Накануне в одном из пригородных районов 14-летний подросток на мотоцикле столкнулся с автомобилем. Ребёнка госпитализировали в отделение анестезиологии и реанимации, после перевели в отделение травматологии и ортопедии. У пострадавшего различные виды переломов рук и ног, черепно-мозговая травма, рвано-ушибленные раны и т.д.
В одном из районов республики двое 15-летних подростков при управлении мотоциклом попали в ДТП и также столкнулись с автомобилем. Их обоих госпитализировали в отделение анестезиологии и реанимации, а после переведели в отделение. У подростков диагностированы множественные травмы, среди них перелом бедренной кости со смещением — у одного, перелом большеберцовой кости со смещением — у другого.
.jpg)
- Эти трагические случаи подчёркивают необходимость усиления контроля со стороны родителей, позволяющих несовершеннолетним садиться за руль мотоциклов, ведь минимальный возраст для получения прав составляет 16 лет, - предупреждают медики.
В больнице в преддверии майских праздников и летнего сезона, когда дети и подростки проводят больше времени на улице, призывают усилить профилактическую работу и повысить осведомлённость о правилах дорожного движения и безопасности на дорогах.