27 марта

26 марта

Популярное

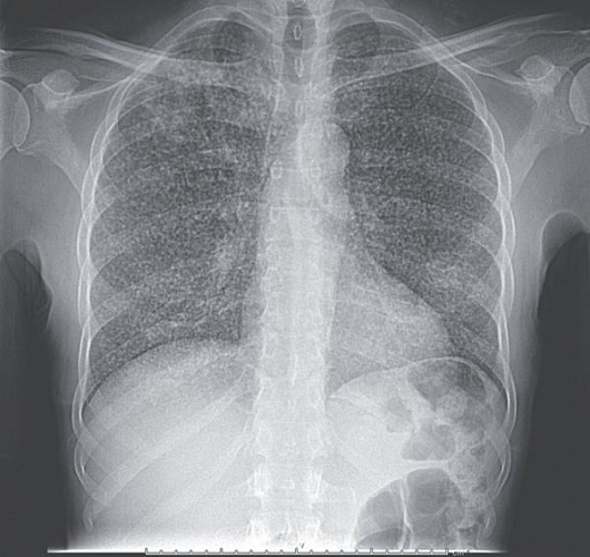
В Бурятии рассказали о «снежной буре» в лёгких

В Бурятии рассказали о «снежной буре» в лёгких
Общество,  Фото:Республиканское патологоанатомическое бюро
Такое проявление бывает у больных туберкулёзом

В республиканском патологоанатомическом бюро рассказали о так называемой «картине снежной бури», которую можно увидеть на рентгенограммах больных туберкулёзом лёгких.

- Этот термин описывает множественные мелкие очаговые затенения, характерные для диссеминированной формы туберкулёза, когда мелкие воспалительные изменения распределены по всей лёгочной ткани, - пояснили патологоанатомы.

В некоторых случаях, особенно на ранних стадиях туберкулёза, лёгкие могут выглядеть относительно благоприятно на рентгенограммах, потому что патология может быть локализована или не сильно выражена.

Здесь отметили, что туберкулёз может значительно изменить структуру лёгочной ткани, что становится заметно на рентгеновских снимках. Ранняя диагностика и точное исследование макроскопических изменений в лёгких помогают не только в установлении диагноза, но и в выборе адекватного лечения.

Уважаемые читатели, все комментарии можно оставлять в социальных сетях, сделав репост публикации на личные страницы. Сбор и хранение персональных данных на данном сайте не осуществляется.

Читают сейчас

Дима Билан выступит на «Голосе Кочевников» в Бурятии
Общество, 27.03.2026
Артист выступит со своим новым шоу на второй день фестиваля
На Ольхоне убрали туалеты со льда Байкала
Общество, 27.03.2026
В нацпарке объяснили, что они защищают среду от отходов
В Улан-Удэ скончался актёр «Молодёжки» Евгений Хабаров
Общество, 27.03.2026
Он ушёл из жизни после продолжительной болезни
В Иркутской области у кошки нашли мумифицированный плод
Общество, 27.03.2026
Как выяснилось, питомцу давали контрацептивные препараты
Жителей Бурятии призвали не свинячить в Тункинском нацпарке
Общество, 27.03.2026
Их просят не оставлять там мусор и не увешивать деревья лентами
В Бурятии монгола оштрафовали на 30 с лишним тысяч из-за сигарет
Общество, 27.03.2026
Ими до отказа был забит автомобиль иностранца
Жительница Бурятии отметила столетие
Общество, 27.03.2026
Поздравления принимала Мария Литвинова
Летом увеличится частота полётов между Улан-Удэ и Москвой
Общество, 27.03.2026
Больше рейсов станет из столицы по всему Дальнему Востоку

^